임신11주 태아 크기 초음파 모습 성별
'임신 10주의 벽'이라는 말이 있다. 임신 10주, 태아의 크기가 30mm를 넘어섰기 때문에 유산확률이 낮아진다는 의미이다. 임신11주에 들어서면 이미 임신 10주의 벽을 넘어선 것으로 곧 안정기를 맞이할 수 있다.
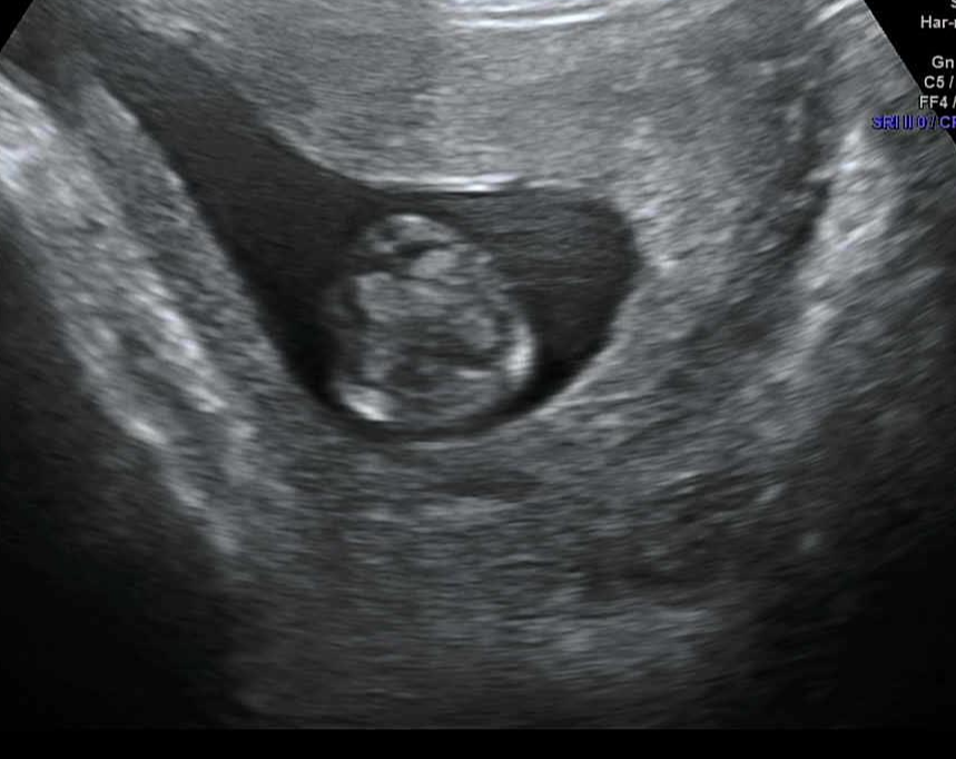
[태아-임신11주 태아 크기 초음파 모습 성별]
임신11주 태아는 주요기관이 거의 완성되어 기형의 가능성이 매우 낮아진다. 손가락, 손톱, 피부가 형성되면서 신경기능이 발달한 태아는 엄마의 뱃속에서 온도와 진동을 느낄 수 있게 된다.
-임신11주 태아 크기
머리엉덩길이(CRL)는 약 40mm~60m이고, 몸무게는 10g~20g 정도로 성장했다. 이등신에 가까웠던 태아는 점점 삼등신의 체형으로 변화한다.
-임신11주 태아 초음파



임신11주차 태아 초음파. 왼쪽 사진을 통해 태아의 얼굴의 코, 입, 턱을 확인할 수 있다. 가운데 사진에서 손가락이 5개임을 확인할 수 있다. 마지막 사진을 통해 뇌를 확인할 수 있다. 이 외에도 위, 방광, 척추도 확인 가능하다.
-임신11주 태아 모습
삼등신에 가까운 체형으로 변해간다. 중요한 기관인 심장이 거의 형성되어간다. 손발도 거의 형성되고 손발에 근육이 서서히 붙으면서 활발하게 움직인다. 신경이 발달하여, 걷듯이 다리를 움직이는 '걷기반사'를 일으키기도 한다.
이마는 머리 윗부분에 볼록하게 튀어나오고 목이 길어지며, 턱이 생긴다. 얼굴도 눈, 코, 입을 구별할 수 있다. 태아의 뇌가 계속 발달하여 뇌의 크기는 직경 1cm정도이고, 대뇌, 소뇌, 시상하부 등 구조가 갖추어진다.
신장의 기능이 갖추어지고, 신장에서 만들어진 소변이 배출된다. 즉, 태아는 양수를 마시고 소변으로 배출하는 순환을 반복한다. 태아의 소변은 무균상태이다. 양수를 마시고 배출하면서 소화기관의 기능을 발달시킨다.
태아의 배에서 대부분을 차지한다. 성인의 간은 영양을 저장하거나, 유해물질을 분해하는 역할을 한다. 이에 반해, 태아의 간은 골수가 만들어지기 전까지 골수의 역할을 하며, 혈액을 제조하고 태아의 성장을 돕는다.
-임신11주 태아 성별
10주부터 생식기가 발달하여, 임신11주차에는 외부 생식기가 발달하여 보여진다. 하지만 초음파로 정확하게 확인하긴 어렵고 1개월정도 지나 정확한 성별 확인이 가능하다.
11주차 증상 입덧 배크기
[임산부-임신 11주차 증상, 입덧, 배크기]
-기초대사량의 변화: 2인분의 에너지를 만들기 위해 임신 전보다 기초 대사량이 25% 정도 증가한다. 이에 따라 더위를 많이 느끼며 땀을 잘 흘릴 수 있다. 빠른 속도로 열량을 소비하기 때문에 단백질과 칼로리를 섭취해야 한다.
-혈액량의 증가: 자궁이 커지면서 필요한 혈액량도 많아지므로 임신 중 혈액의 양은 50% 이상 증가하고, 늘어난 혈액은 임신부와 태아를 보호하고 갑작스런 출혈에 대비하는 역할을 한다.
-배크기: 자궁이 커짐에 따라 아랫배가 살짝 튀어나오며 육안으로 거의 보이지 않지만, 사람에 따라 육안으로 보여지는 경우도 있다.
-색소침착 또는 기미의 출현: 임신에 따른 여성호르몬인 에스트로겐과 프로게스테론이 변화하는데, 이는 색소의 생성에 관여하는 멜라닌 세포를 자극하여 몸에 색소침착 또는 기미가 발생한다.
-부분적 통증: 태아의 성장에 따라 자궁이 점차 커지며, 이에 따라 자궁을 떠받치는 주위 기관, 인대에 미치는 부담이 커진다. 이는 요통, 치골통, 고관절통 등 신체에 부분적인 통증을 일으키기도 한다.
-기립성 어지럼증: 태아에게 많은 영양과 산소를 보내기 위해 자궁에 혈액이 집중하게 된다. 이에 따라 임신부의 머리에 혈액이 부족하여 기립성 어지럼증이 발생한다. 어지럼증이 발생하는 경우 천천히 움직이도록 하여 쓰러지지 않도록 조심해야한다.
[임산부-임신 11주차 관리방법]
-충분한 수분 섭취: 물은 몸이 필요로 하는 수분을 공급하고 세포기능이 활성화되도록 도우며, 변비 해소와 손발의 부기를 가라앉히는 데도 중요한 역할을 한다. 다만, 청량음료나 당분이 많은 음료는 피하도록 한다.
-편안한 음악을 듣는다: 이 시기에는 태아의 귀가 발달해 엄마가 듣는 소리를 그대로 느낄 수 있다. 따라서 엄마가 편안한 음악을 들으면 태아에게 좋은 영향을 줄 수 있다.
-단백질, 칼로리 섭취: 임신 중에는 열량 소비가 많으므로, 단백질과 칼로리 섭취를 늘려야 한다. 특히 단백질은 넉넉하게 섭취해야 한다. 임신 초기에는 하루에 50g 정도 섭취하는 것이 적당하다.
-일기를 쓴다: 몸의 변화는 물론 아이에 대한 느낌이나 생각들, 앞으로의 계획도 기록하는 일기를 쓴다. 몸과 마음이 힘든 시기일수록, 스스로를 돌아보는 일기가 마음을 안정시키는 데 도움이 될 수 있다.
-운전을 삼간다: 임신 초기에는 가급적 운전을 삼간다. 꼭 운전을 해야 할 상황이라면 운전을 하다 잠깐씩 자주 쉬도록 한다. 쉴 때는 운전석의 자리를 충분히 넓힌 후 다리를 쭉 뻗어 몸의 긴장을 풀어준다.
-긴 여행은 삼간다: 임신 초기에는 모든 것이 불안정하므로 긴 여행은 피한다. 긴 여행을 해야하는 경우, 2시간에 한 번은 자리에서 일어나 걷거나 휴게소에서 쉬는 것이 좋다. 편안한 옷을 입고, 물과 간식을 충분히 준비하도록 한다.
'임신과 출산 > 임신증상' 카테고리의 다른 글
| 임신 8개월 태아 모습 몸무게 및 입체초음파 후기 (0) | 2023.10.08 |
|---|---|
| 임신12주 태아 모습 크기 성별 12주차 증상 입덧 배크기 (0) | 2023.05.09 |
| 계류유산 뜻 원인 증상 확률 및 계류유산 후 몸조리 (0) | 2023.04.26 |
| 임신중독증(임신성 고혈압) 이란 원인 증상 진단 및 예방 식이요법 (0) | 2023.04.24 |
| 임신 10주 태아크기 모습과 10주차 증상 입덧 초음파 배크기 관리방법 (0) | 2023.04.22 |
댓글