임신 10주 태아크기 모습
아직 안정기는 아니지만 그래도 유산 확률은 현저히 낮아진 임신 10주차. 사실상 태아의 크기로 인해 10주 0일에서 9주 3일로 조정되긴 했지만, 그럼에도 다가올 임신 10주 태아 모습, 그리고 임산부의 증상에 대해서 알아보고자 한다.
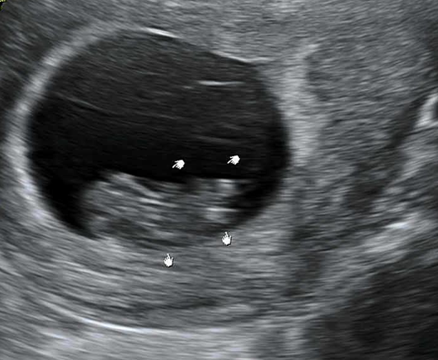
[태아-임신 10주 태아크기 초음파 모습]
-임신 10주 태아 크기
임신 10주 태아는 하루에 약 1.5mm씩 아주 빠른 속도로 자란다. 1주일에 10mm 이상 커져 태아의 머리엉덩길이(CRL)는 약 31mm~40mm이다. 태아는 끊임없이 성장하며 사람의 모습을 갖추기 시작하고, 선천성 기형에 대한 위험은 적어진다.
-임신 10주 태아 초음파

초음파를 통해 보여진 태아는 머리와 몸통, 팔다리가 분명하게 구분되어 있고, 양수 속에서 팔다리를 움직이고 있다. 임신 10주가 되면 태아는 팔목을 구부렸다 펼 수 있게 되고, 발의 모든 기관을 갖추게 된다.
태아의 심박수는 보통 150bpm~ 18-bpm 이며 초음파를 통해 확인한 심박수는178bpm으로 성인의 심박수보다는 두 배정도 빠르다. 초음파를 통해 탯줄을 육안으로 확인할 수 있었고, 태아는 이 탯줄로 태반에 연결되어 양분을 흡수한다.
-임신 10주 태아 모습
태아의 몸속에서는 뼈가 만들어져 단단해지고, 주요 기관은 완성되었다. 근육과 피부도 발달하고 있으며, 앞으로는 몸의 움직임을 조절하는 신경 계통이 발달하게 된다. 몸을 움직이지만 아직 태동이 느껴지진 않는다.
이 시기부터 성(性) 조직이 발달해 생식기가 형성되기 시작한다. 태아가 남자인 경우 고환이 보여지게 되고, 여자인 경우 질이 발달하게 된다.
태아의 눈꺼풀이 완성되어, 태아는 눈을 감을 수 있다. 신경반사로 '눈 깜빡거리기'도 가능하긴 하지만, 눈꺼풀을 완전히 여닫을 수 있는 것은 4개월 정도 후 가능하다.
태아의 신장은 양수를 만들기 시작한다. 양수는 외부 충격 및 감염으로부터 태아를 보호하는 역할을 한다. 이러한 양수는 임신 중기 이후 대부분 태아의 소변이 차지하게 된다.
10주차 증상 입덧 배크기
[임산부-임신 10주차 증상, 입덧, 배크기]
-입덧의 진정: 입덧이 절정을 지나 진정되기 시작하는 시기이다. 먹지 못했던 증상이 없어지고, 갑자기 식욕이 왕성해질 수도 있고, 속쓰림이 시작될 수도 있다. 입덧 기간과 증상은 사람마다 다르므로 단정지을 수는 없다.
-배크기: 사람마다 차이가 있으나 단단한 아랫배가 살짝 튀어나온다. 속옷을 입을 때 꽉 끼거나 작다는 느낌이 들기도 한다. 그러나 평상복을 입으면 육안으로 배 나온 것이 보이지는 않는다.
-빈혈: 혈액량은 증가하지만, 혈액 내 혈색소량과 적혈구 수는 감소한다. 태아에게 철분이 전달되어, 산모 혈액에는 철분이 부족해진다. 이를 통해 '빈혈'이 생긴다. 일어설 때 현기증을 느낄 수 있고, 숨이 차거나 두근거림, 두통이 생길 수 있다.
-요통의 시작: 자궁이 커지면서 주위 조직을 압박하거나 혈액 흐름이 막혀 허리에 통증을 올 수 있다. 자궁을 떠받치는 인대가 자궁의 무게로 당겨짐에 따라 고관절에 통증을 느낄 수도 있다.
-튀어나온 혈관: 임신 전에 비해 혈액 생산량이 15% 증가하게 된다. 이에 따라 임신부 신체의 혈관이 튀어나와 보일 수 있고, 특히 유방은 수유를 위한 준비로 혈류량이 대폭 증가하기 때문에 혈관이 도드라져 보이는 경우가 매우 많다.
-부종의 발생: 간혹 부종이 발생하는 경우가 있다. 오전에는 괜찮고 밤에 부종이 발생한다면 순환을 통해 부종을 개선할 수 있다. 그러나 오전부터 붓는 경우에는 신장에 문제가 있을 수 있으므로 의사와의 상담이 필요하다.
-임신우울증: 출산에 대한 공포와 ‘건강한 아이를 순산할 수 있을까’ 하는 두려움이 커진다. 배가 불러오는 자신의 모습을 통해 남편과의 관계에 대한 생각에도 변화가 생기고, 감정 기복이 심해져 작은 일에도 쉽게 화를 낼 수도 있다.
[임산부-임신 10주차 관리방법]
-먹을 수 있을 때, 먹을 수 있는 음식을 먹는다: 입덧이 아직 끝나지 않은 경우, 영양소를 흡수해야 한다는 자체가 스트레스가 될 수 있다. 억지로 먹기보다는 먹을 수 있을 때 먹도록 한다. 가능한 규칙적으로, 골고루 먹는 것이 좋다.

-칼슘 섭취: 임신 10주가 되면 태아는 뼈와 근육, 유치의 바탕이 만들어지기 시작하며, 이에 따라 칼슘을 충분히 섭취해야 한다. 우유, 요구르트, 치즈 등의 유제품, 멸치 등의 생선, 톳,미역 등의 해조류를 통해 칼슘을 섭취할 수 있다.
-철분 섭취: 빈혈을 개선하려면 철분이 필요하기에, 조개류, 해조류, 쇠고기, 녹황색 채소를 섭취한다. 비타민C와 단백질은 철의 흡수를 돕는다. 비타민C가 많은 피망, 레몬, 브로콜리, 단백질이 풍부한 멸치, 두부를 함께 섭취한다.
-충분한 수면: 임신 전에 비해 산소 소비량이 20% 증가했기 때문에, 산소가 많이 필요하다. 이에 따라 호흡곤란이 찾아올 수도 있고, 쉽게 피곤해지거나 계속 졸릴 수 있다. 충분한 휴식과 수면을 취하도록 한다.
'임신과 출산 > 임신증상' 카테고리의 다른 글
| 계류유산 뜻 원인 증상 확률 및 계류유산 후 몸조리 (0) | 2023.04.26 |
|---|---|
| 임신중독증(임신성 고혈압) 이란 원인 증상 진단 및 예방 식이요법 (0) | 2023.04.24 |
| 산전 기형아 검사 시기 종류 결과 한계 (0) | 2023.04.18 |
| 니프티 검사 시기 정확도 결과 비용 보험 (0) | 2023.04.16 |
| 임신 9주차 태아모습 증상 배크기 관리방법 (0) | 2023.04.09 |
댓글